Casos de Pacientes

Gamma Dental

Casos de pacientes

Miles de sonrisas recuperadas con éxito en Quito

Casos de Ortodoncia

Nos enorgullece mostrar los resultados reales de nuestros tratamientos de ortodoncia. Cada paciente recibe un plan personalizado, adaptado a sus necesidades y tipo de mordida, utilizando técnicas modernas como brackets autoligados, estéticos y planes especiales para jóvenes y adultos.

A través de fotos de antes y después, podrás ver los avances progresivos y cómo logramos corregir problemas de alineación, mordida y estética dental. Cada caso es un ejemplo de nuestra precisión, dedicación y compromiso con la salud y confianza de nuestros pacientes.

Resultados visibles en pocas sesiones..

Casos de Endodoncia

En nuestras clínicas realizamos tratamientos de endodoncia con resultados comprobados, devolviendo la salud y funcionalidad a dientes afectados por caries profundas, traumatismos o infecciones. Cada paciente recibe un diagnóstico detallado, planificación personalizada y técnicas modernas que garantizan un tratamiento eficaz y cómodo.

Nuestros casos documentados muestran dientes tratados con éxito, preservando su estructura natural y restaurando la estética y la funcionalidad. Con endodoncia, evitamos extracciones innecesarias y ofrecemos soluciones duraderas que protegen tu sonrisa a largo plazo.

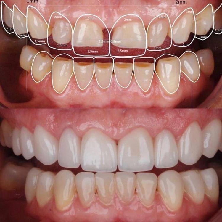
Casos de Prostodoncia

Nuestros casos documentados de antes y después muestran cómo corregimos dientes dañados, espacios, desgaste dental o problemas de color, logrando sonrisas estéticas y funcionales. Cada transformación refleja nuestro compromiso con la precisión, la calidad y la satisfacción del paciente.

Social media & sharing icons powered by UltimatelySocial
Instagram
Tiktok
Scroll to Top